Assessment degree of Mitral Regurgitation by Regurgitation jet Area/La area
Echocardiography Simulator
What about a little bit of theory before beginning the simulation? >>>
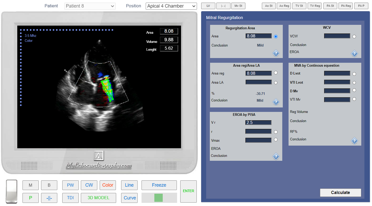
- From the List <<Patients>> Choose Patient 8 (User can Choose other patients with mitral regurgitation as well).
- From the List <<Positions>> Choose Apical 4 chamber or find the same position with 3D Transducer.
- Clik the button <<Color>> to run Color Doppler.
- Click the button <<Freeze>> to freeze image. Using Slider find the frame of maximum regurgitation size.
- Click Button <<Calculations>> Click Tab <<MV Reg>> find calculator <<Area reg/Area LA>> Click Radio Button <<Area reg>>
- Click the button <<Curve>> place points around regurgitation jet.
- Click Radio Button <<Area LA >>
- Click the button <<Curve>> place points around Left Atrium endocardium.
- Click the button <<Enter>>

Apical 4 chamber View. Mitral regurgitation. Regurgitation jet area measurement.

Apical 4 chamber View. Mitral regurgitation. LA area measurement.